ศัลยกรรมจมูก FACE
ปลอดภัยและแม่นยำ เพื่อให้ได้ผลลัพธ์สมบูรณ์แบบมากกว่า

การใช้อุปกรณ์ 3D-CT ก่อนทำการศัลยกรรมช่วยให้สามารถวินิจฉัยสภาพโครงสร้างของกระดูกที่จะผ่าตัดได้อย่างแม่นยำ ซึ่งนำไปสู่ผลลัพธ์การทำศัลยกรรมที่ดีกว่า
ศัลยกรรมจมูก 3D-CT ไม่เพียงแต่จำแนกองค์ประกอบด้านนอกของจมูกเท่านั้น แต่ยังรวมทั้งอาการและสาเหตุที่ก่อปัญหาต่อกระดูกในโพรงจมูก จมูกคด กระดูกกั้นผนังโพรงจมูก อาการคัดจมูก ฯลฯ อีกด้วย การวิเคราะห์ 3 มิติที่ใช้เทคโนโลยี 3D-CT ช่วยเตรียมแผนการทำศัลยกรรมที่เหมาะสม ลดปัญหาต่อเส้นเลือดและเส้นประสาท แถมยังเป็นขั้นตอนศัลยกรรมที่ปลอดภัยและแม่นยำอีกด้วย
ศัลยกรรมจมูก 3D-CT ให้ความสำคัญทั้งความงามและรูปแบบการทำงานของจมูกจนได้จมูกที่สวยดั่งใจและปลอดภัย
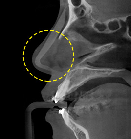
3D-CT วิเคราะห์จมูกแบบ 3 มิติ
เฟซใช้อุปกรณ์ 3D-CT ที่ทันสมัยเพื่อวิเคราะห์ลักษณะโดยรวมของกระดูกโพรงจมูก กระดูกอ่อนผนังกั้นโพรงจมูก เนื้อเยื่อผิวหนัง ความอสมมาตร ฯลฯ ซึ่งไม่สามารถจำแนกออกมาโดยใช้วิธีการให้คำปรึกษาปกติทั่วไป เพื่อช่วยให้ขั้นตอนศัลยกรรมจมูกปลอดภัยและแม่นยำมากขึ้น
-
กรณีที่ 1เมื่อกอร์เทกซ์หนาจนกดทับผิว
ถอดกอร์เทกซ์ออกแล้วแทนที่ด้วยวัสดุที่ทำจากซิลิโคน ขึ้นอยู่กับสภาพผิวควบคู่ไปกับศัลยกรรมปลายจมูก
-
กรณีที่ 2จมูกงุ้มและคดตรงกลาง
ตัดกระดูกและกระดูกอ่อนอย่างเหมาะสมขึ้นอยู่กับระดับความคด
-
กรณีที่ 3เมื่อใช้ซิลิโคนและผนังกั้นโพรงจมูกคด
ปรับแต่งกระดูกโพรงจมูกและผนังกั้นโพรงจมูกที่คดและสอดซิลิโคนเข้าไป
-
กรณีที่ 4จมูกทู่และหดสั้นหลังผ่าตัด
กำจัดพังผืดที่ก่อให้เกิดอาการนี้ เสริมความยาวกระดูกอ่อนในโพรงจมูกอีกครั้งเพื่อช่วยให้จมูกได้รูปทรง
-
กรณีที่ 5ตอนที่วัสดุปลุกถ่ายโปนออกมาเป็นรูปตัวแอล
เราจะทำการจำแนกระดับการมองเห็นและตำแหน่งของวัสดุที่ปลูกถ่ายเอาไว้ได้อย่างแม่นยำ จากนั้นทหการถอดวัสดุปลูกถ่ายรูปตัวแอลออก แล้วแทนที่ด้วยวัสดุปลูกถ่ายรูปตัวไอ ตามด้วยการใช้กระดูกอ่อนปรับเปลี่ยนรูปทรงของปลายจมูก
-
กรณีที่ 6มีแคลเซียมมาพอกที่ปลายจมูก
มีการตรวจสอบส่วนที่แคลเซียมพอกไม่สามารถมองเห็นด้วยตาเปล่าล่วงหน้า เพื่อกำจัดออกในเวลาทำศัลยกรรม
- ผู้ที่เหมาะจะทำศัลยกรรมชนิดนี้
-
- 1ผู้ที่ต้องการทำศัลยกรรมจมูก ที่มีจุดมุ่งหมายด้านความงาม
- 2ผู้ที่มีจมูกคดหรือผนังกั้นโพรงจมูกเบี่ยงเบน
- 3ผู้ที่กระดูกในโพรงจมูกเคยแตกมาก่อน
- 4ผู้ที่ให้ความสำคัญทั้งความงามและรูปแบบการใช้งาน
- 5ผู้ที่ต้องการแก้ไขศัลยกรรมของจมูกแบบใดแบบหนึ่ง
- ข้อมูลการศัลยกรรม
-
เวลาศัลยกรรม: 1.5 - 2 ชั่วโมง
การถอดไหม: หลังจากผ่านไป 5 - 10 วัน
การวางยาชา: วางยาสลบหรือให้ยาชาบางส่วน
จำนวนครั้งการกลับมาติดตามผล: 2 - 3 ครั้ง
การดูแลในฐานะคนไข้ใน: ไม่ต้อง
ระยะเวลาในการฟื้นตัว: 7 วัน (อาจแตกต่างกันออกไปขึ้นอยู่กับแต่ละบุคคล)
ความเห็น
4.6 ระดับเฉลี่ย
-
ชิน *ซัน / 12 เดือน
ศัลยกรรมจมูกพนักงานตอบคำถามของฉันอย่างใจดี และฉันพอใจกับศัลยกรรมจมูกที่ทำมาอย่างมาก เพราะได้รูปทรงอย่างที่ฉันต้องการพอดี การดูแลหลังการผ่าตัด (ปลอดเชื้อ) และบริการอื่นๆ ก็เยี่ยมยอดเช่นกัน ฉันมีแต่ความทรงจำดีๆ กับคลีนิกแห่งนี้ สิ่งอำนวยความสะดวกต่างๆ เป็นระเบียบเรียบร้อยและพนักงานก็สุภาพมาก ฉันอยากแวะไปที่คลีนิกแห่งนี้อีกครั้ง เพราะสงสัยว่ายังมีศัลยกรรมอื่นๆ ฉันควรทำอีกไหม
-
ลี *ฮี / สามเดือน
ศัลยกรรมกรามสี่เหลี่ยม จมูก/ดวงตาขอขอบคุณที่ดูแลทุกครั้งที่ฉันไปติดต่อด้วย ฉันหวังว่าเฟซจะมีชื่อเสียงมากกว่านี้ในอนาคต
-
ยู *เจียง / 1 เดือน
ศัลยกรรมเปิดหัวดวงตา ศัลยกรรมเปิดหางตาสองแบบ ศัลยกรรมจมูกนี่เป็นครั้งแรกที่ฉันทำศัลยกรรมพลาสติก พวกเขาอธิบายเรื่องข้อควรระวังและผลข้างเคียงที่ฉันอาจเจอให้ฉันฟังอย่างละเอียด นอกจากนั้น พวกเขายังเฝ้าติดตามอาการบวมหลังผ่าตัดอย่างใกล้ชิดและดูแลเป็นอย่างดีอีกด้วย






